La granulomatosi eosinofilica con poliangite è una malattia eosinofila rara. Mepolizumab salva gli organi dall’infiammazione
La granulomatosi eosinofilica con poliangite (EGPA) è una malattia rara che colpisce le pareti dei vasi sanguigni e può causare danni agli organi, in primis il polmone, ma anche a reni, cuore, derma e sistema nervoso (centrale e periferico) e altro ancora.
La malattia un tempo era conosciuta come sindrome di Churg-Strauss, dal nome dei due scienziati che l’hanno scoperta nel 1951.
La prevalenza in Italia è ancora difficile da quantificare: in generale si stima un’incidenza di 0,5-4,2 casi per milione di abitanti. Quello che è sicuro è che la causa è un’infiammazione eosinofila che colpisce le pareti dei vasi sanguigni di piccole e medie dimensioni e può causare seri problemi a diversi organi: il polmone in primis, ma anche alle alte vie aeree, ai reni, al cuore, all’intestino, alla stessa pelle.
Si tratta quindi di una patologia grave, multisistemica e potenzialmente letale: ogni organo potrebbe essere impattato, anche irreversibilmente, dall’infiammazione.
L’EGPA evolve attraverso 3 fasi, la cui durata nel tempo può variare da paziente a paziente, andando a coprire intervalli fino a 20 anni nei casi a decorso più lento.
La prima, chiamata prodromica, è caratterizzata da uno stato di infiammazione alle alte e alle basse vie respiratorie e si manifesta con asma e rinite allergica, a volte accompagnate da poliposi nasale.
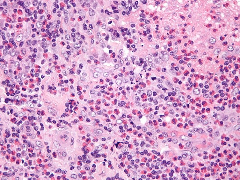
Nella fase successiva (eosinofila), i protagonisti diventano gli eosinofili, cellule del sistema immunitario. Nell’EGPA i valori medi di eosinofilia sono generalmente pari o superiori a 1.500 cellule per microlitro di sangue, oppure superiori al 10% del totale dei leucociti, a fronte di valori di riferimento per le persone sane che normalmente si trovano tra 0 e 500 cellule per microlitro (0-5% del totale dei leucociti), con conseguente loro pericoloso accumulo nei tessuti. In questo stadio anche gli ANCA (anticorpi anticitoplasma) possono entrare in azione e creare danni.
Le manifestazioni sono: febbre, stanchezza, perdita di peso, dolori articolari, ai muscoli e disfunzione dell’organo maggiormente colpito dall’infiltrazione. La terza fase è detta vasculitica e determina un interessamento sistemico.
Tra gli organi più colpiti c’è il polmone. Altri bersagli sono i reni, il cuore e l’intestino: in quest’ultimo caso l’addensamento degli eosinofili provoca dei micro-infarti mandando in necrosi le parti che non ricevono più il sangue. A volte vengono interessati più organi contemporaneamente e può capitare che la vasculite colpisca anche il sistema nervoso, con perdita di sensibilità o di mobilità dei muscoli. A complicare ulteriormente le cose: le fasi della malattia possono non presentarsi in ordine consequenziale, ma manifestarsi in modo misto e sovrapposto.
Questo è più o meno il quadro clinico. Sulle cause c’è ancora da studiare. L’importanza però delle manifestazioni allergiche fa pensare a un processo autoimmune.
Quel che è certo è l’impatto sulla vita dei malati. Convivere con l’EGPA non è una passeggiata, dal punto di vista fisico e di conseguenza psicologico. Il dolore, la sensazione di smarrimento e la difficoltà a essere diagnosticati precocemente (ci possono volere dai 7 ai 10 anni) è quello che i pazienti lamentano maggiormente.
Ma come si arriva alla diagnosi? I sintomi descritti suggeriscono allo specialista – immunologo, allergologo, reumatologo e pneumologo – di sottoporre il paziente a esami di laboratorio specifici che riescono a intercettare “l’esplosione eosinofila” grazie al dosaggio dell’emocromo, alla formula leucocitaria ed ECP (proteina cationica eosinofila, una proteina rilasciata dagli eosinofili), unitamente ad un controllo di un marker d’infiammazione come la VES.
Fatta la diagnosi inizia il percorso di cura che oggi, fortunatamente, offre nuove luci e risposte concrte.
Le terapie tradizionali come i corticosteroidi e gli immunosoppressori hanno un impatto limitato sull’EGPA, perché non agiscono alla sua origine e aumentano il rischio infettivo, favorendo un circolo vizioso. E qui entra in gioco mepolizumab. L’anticorpo monoclonale agisce direttamente sulle cause molecolari e biologiche sia dell’EGPA che delle altre patologie eosinofile.
Nello studio registrativo MIRRA, pubblicato anche sul NEJM nel 2017, si è visto chiaramente come a 24 settimane oltre la metà dei pazienti in cura con mepolizumab fosse in remissione di malattia e che l’uso del farmaco ha permesso di ridurre significativamente il consumo di corticosteroidi orali necessari per mantenere la malattia sotto controllo.
Un risultato che ha cambiato la vita dei pazienti, confermato poi dallo studio MARS che ha valutato la sicurezza e l’efficacia a lungo termine.
Ancora dopo 4 anni di trattamento si è osservata una significativa riduzione mediana dei corticosteroidi orali, un controllo dei sintomi e nessun evento avverso correlato al farmaco.

