La sensibilizzazione di una patologia divenuta un problema sanitario globale è al centro del libro SANGUE A FALCE del Dott. Giovan Battista Ruffo
La sensibilizzazione di una patologia divenuta un problema sanitario globale è stata al centro della presentazione del libro SANGUE A FALCE del Dott. Giovan Battista Ruffo, Direttore U.O. Ematologia e Talassemia ARNAS Civico Di Cristina Benfratelli di Palermo e membro del Consiglio Direttivo SITE, svoltasi di recente Roma nella sala ISMA del Senato della Repubblica in occasione della Giornata Mondiale dell’Anemia Falciforme.
Il romanzo
SANGUE A FALCE racconta l’anemia falciforme attraverso una narrazione avvincente che intreccia storie di vita reale con il dramma della malattia. Ambientato a Palermo, una città da sempre crocevia di popoli dell’area mediterranea, il libro non solo mette a fuoco la sofferenza e le sfide affrontate dai pazienti, ma affronta anche temi cruciali come l’immigrazione clandestina e la tratta delle schiave provenienti dall’Africa subsahariana verso il nostro Paese. L’autore ha infatti spiegato: “Il romanzo utilizza il potere della narrazione per sensibilizzare il pubblico su una condizione complessa, mettendo in luce non solo le sfide mediche, ma anche le interconnessioni sociali e culturali. In particolare, questo libro racconta la storia di un medico specializzato in ematologia pediatrica che si trova a dover trasfondere un bambino affetto da anemia falciforme. Tuttavia, la madre del bambino, un’immigrata con una storia difficile legata alla tratta delle schiave, si oppone alla trasfusione, in quanto, a Palermo, città storicamente accogliente e crocevia di popoli, si trova a volersi sposare con un uomo testimone di Geova, adottandone la religione che vieta le trasfusioni. Per risolvere la situazione, viene richiesto l’intervento del tribunale dei minori, e una giudice minorile diventa protagonista della vicenda. Oltre al tema della patologia, nel libro vengono quindi trattati temi legati alla condizione delle donne immigrante provenienti dall’Africa Sub-Sahariana e del loro sfruttamento e i dogmi della religione, ovvero di come una fede possa influire su delle scelte dolorosissime come quella di salvare o meno la vita di un proprio figlio”.
L’anemia falciforme
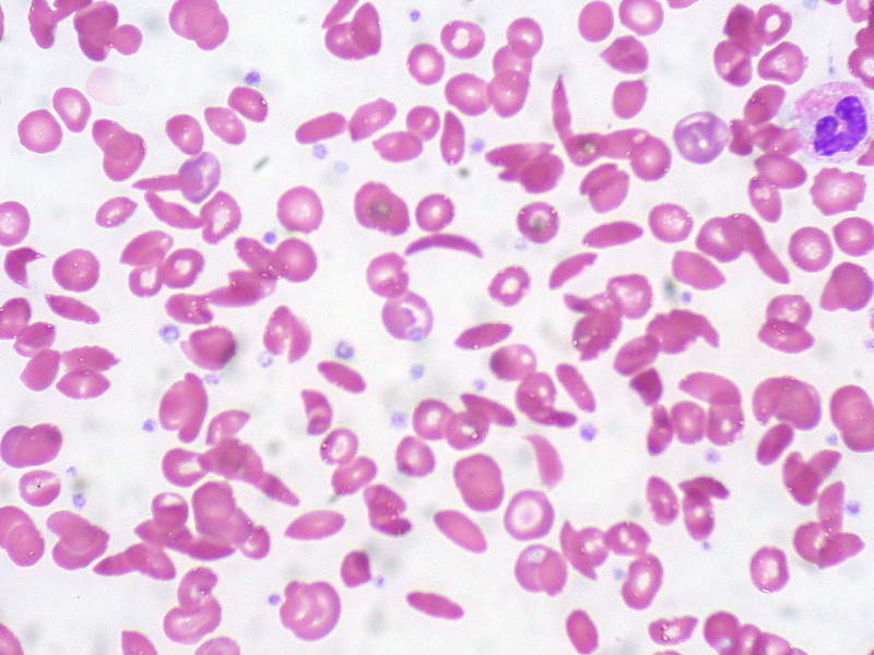
L’anemia falciforme, anche detta drepanocitosi o malattia drepanocitica, è una condizione genetica ed ereditaria del sangue. È una mutazione cronica in cui, a causa di una mutazione dell’emoglobina, i globuli rossi acquisiscono la caratteristica forma “a falce”. Questa alterazione porta ad anemia, dovuta alla rottura dei globuli rossi difettosi, e a dolorose crisi falciformi, poiché i globuli rossi, a causa della loro forma anomala e rigidità, tendono ad ostruire i vasi sanguigni.
Si stima che ogni anno nascano tra 300.000 e 400.000 bambini con questa malattia, più comune tra le persone dell’Africa subsahariana, dell’India, del Medio Oriente, di parti del Mediterraneo, dell’Europa allargata o di coloro che avevano antenati provenienti da queste regioni. In Italia, si contano tra 2.500 e 4.000 pazienti affetti da anemia falciforme, sebbene questi numeri siano probabilmente sottostimati.
A causa del costante aumento, registrato negli ultimi anni, di bambini affetti da anemia falciforme e del peso crescente della gestione sui sistemi sanitari, nel 2006 l’Organizzazione Mondiale della Sanità (OMS) ha invitato i sistemi sanitari ad implementare e rinforzare i programmi di prevenzione e trattamento dell’anemia falciforme al fine di ridurne morbilità e mortalità. Nel 2008 l’Assemblea Generale delle Nazioni Unite ha definito la drepanocitosi “un problema di sanità globale”, istituendo la Giornata Mondiale della Malattia Drepanocitica il 19 giugno di ogni anno.
Nel corso dell’evento di presentazione sono intervenuti per discutere insieme all’autore anche il Prof. Franco Locatelli, Direttore del Dipartimento di Onco-Ematologia Pediatrica dell’Ospedale Bambino Gesù di Roma, che ha illustrato i dati della nuova terapia di editing genico come soluzione definitiva di guarigione della malattia. Per le istituzioni, hanno preso parola il Senatore Raoul Russo della 10ª Commissione Permanente Sanità e l’eurodeputato Pietro Bartolo. Erano inoltre presenti, in rappresentanza delle associazioni di pazienti, Raffaele Vindigni, Vicepresidente UNITED e Vanessa Costantino della Fondazione Giuseppe Conoscenti ONLUS, che hanno dichiarato congiuntamente: “Parlare di anemia falciforme è d’obbligo. Questi pazienti sono fragili e sempre a rischio. Il Dottor Ruffo, con questo libro, è riuscito in modo efficace a promuovere la sensibilizzazione e la conoscenza di questa condizione. Essere qui non può che onorarci, e come attori impegnati nella tutela di chi vive con queste patologie rare del sangue, siamo grati se le attenzioni, cure e terapie per questi pazienti saranno sempre meglio garantite. Sapere di aver trasmesso un gene ‘difettato’ al proprio figlio è difficile da accettare. Nel romanzo emerge il rapporto tra pazienti e medici, che in situazioni difficili sono la vera ricchezza e salvezza. Solo con la consapevolezza e la conoscenza della malattia si può uscire dal buio e immergersi nella ricerca e nell’evoluzione della scienza. La terapia genica è la strada che porterà molti bambini alla guarigione, e a quel punto sparirà il senso di colpa e prevarrà l’orgoglio di aver raggiunto un grande traguardo. Lo dobbiamo a chi ha reso questo possibile e a Giuseppe, che ci ha lasciato troppo presto e gioirà con noi vedendo il suo desiderio realizzarsi negli altri ragazzi come lui”. All’incontro ha partecipato l’editore Nicola Macaione che ha ringraziato il Senato della Repubblica e tutti gli intervenuti per l’attenzione data al libro come importante strumento per promuovere una maggiore conoscenza della patologia.
Nuove prospettive di cura
Exa-cel è la prima e unica terapia di editing genico basata sulla tecnologia CRISPR/Cas9 approvata a livello europeo. Si tratta di una terapia cellulare non virale, con modifica genetica ex vivo tramite la tecnica di editing genetico CRISPR/Cas9, per pazienti con anemia falciforme e beta talassemia idonei, nella quale le cellule staminali e progenitrici ematopoietiche del paziente stesso vengono modificate nella regione enhancer specifica per gli eritroidi del gene BCL11A attraverso una precisa rottura del doppio filamento del DNA. Questa modifica porta alla produzione di alti livelli di emoglobina fetale (HbF; emoglobina F) nei globuli rossi. L’HbF è la forma di emoglobina che trasporta ossigeno, naturalmente presente durante lo sviluppo fetale, che viene sostituita dalla forma adulta dell’emoglobina dopo la nascita. È stato dimostrato che exa-cel riduce o elimina le crisi vaso-occlusive per i pazienti con anemia falciforme e la necessità di trasfusioni per i pazienti con beta talassemia dipendente dalle trasfusioni.

