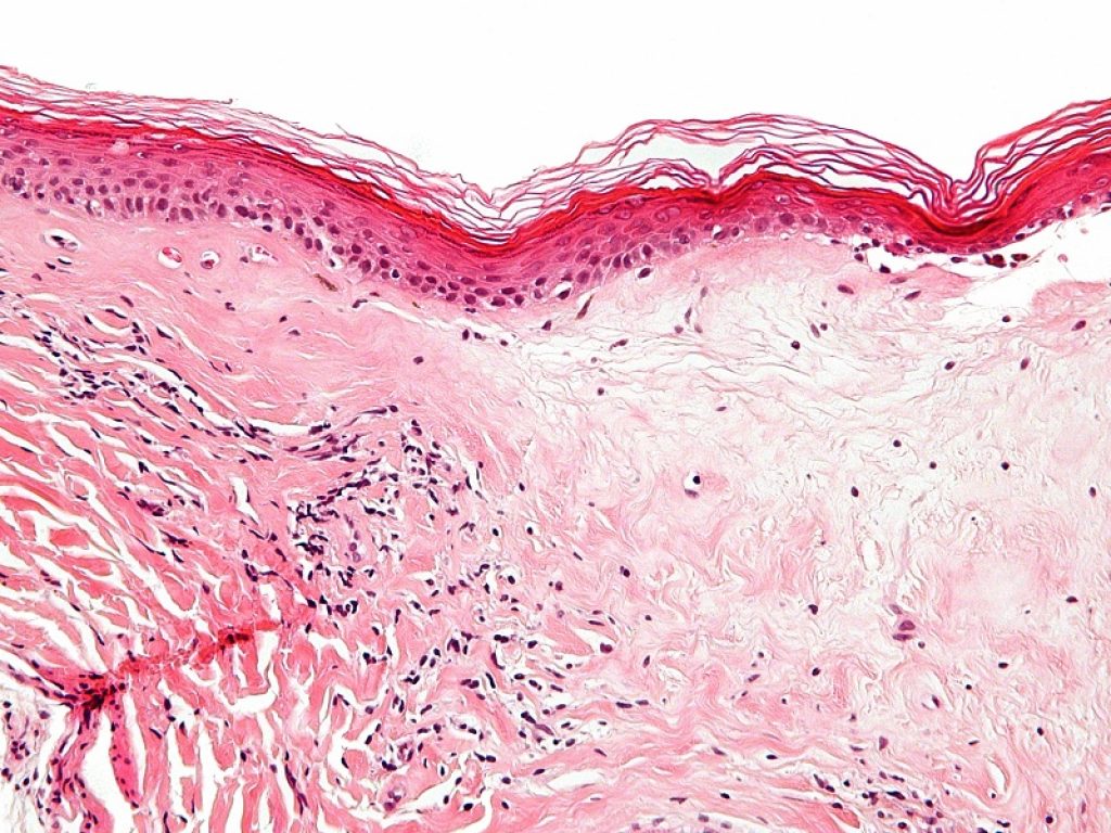
Il lichen scleroatrofico è una malattia infiammatoria cronica rara che coinvolge soprattutto cute e mucose dell’area ano-genitale: parlano gli esperti
Riparare il danno ai tessuti danneggiati dal lichen scleroatrofico, malattia infiammatoria cronica rara che coinvolge soprattutto cute e mucose dell’area ano-genitale per consentire ai malati una vita il più possibile normale. Il lichen scleroatrofico (LSA) va combattuto rapidamente e con ogni mezzo, sia utilizzando le terapie locali con cortisone che le tecniche della chirurgia rigenerativa, cioè microinnesti di tessuti adiposi prelevati dallo stesso paziente e iniezioni di PRP, plasma ricco di piastrine, perché la sofferenza e il disagio aumentano nelle fasi più avanzate della malattia. Sono sempre più numerosi i casi che arrivano all’osservazione del medico, fino a qualche anno fa spesso sottodiagnosticata per pudore o per diagnosi tardive.
“Negli Usa si calcola che l’1,7% delle donne che si rivolge al ginecologo abbia un problema di lichen scleroatrofico. – spiega il dr. Francesco Casabona, chirurgo plastico di Genova che da anni si occupa della patologia – Oltre ai classici trattamenti locali con cortisonici ultrapotenti – che non hanno però effetti sugli esiti cicatriziali della malattia e a lungo andare causano effetti collaterali importanti – utilizziamo tecniche di chirurgia plastica rigenerativa sempre più mirate e miniinvasive, con fattori biologici presi dal nostro corpo, simili alle metodiche utilizzate per trattare ulcere, ustioni o danni da radioterapia. Non è un approccio nuovo ma, unendo le competenze di team multidisciplinari, otteniamo buoni risultati sui sintomi.”
Che cosa è cambiato dunque nella chirurgia rigenerativa in questi ultimi anni?
“Gli interventi sono sicuramente molto meno invasivi, come il micro lipofilling e l’uso di PRP (plasma ricco in piastrine) – spiega ancora il dr. Casabona – nello stesso intervento si iniettano con due siringhe diverse il grasso prelevato dal paziente e il plasma ricco in piastrine, che si ottiene tramite un prelievo di pochi cc e poi centrifugato. Ma è recente il riconoscimento dell’importanza, nel decorso post-operatorio, del lavoro di fisioterapiste specializzate nel pavimento pelvico nel migliorare i risultati e mantenerli nel tempo. Ci siamo resi conto che la fisioterapia non è un approccio valido solo in ortopedia ma funziona molto efficacemente anche nei pazienti che devono riacquisire una normale attività sessuale.” Fisioterapia e approccio multidisciplinare con altre figure come il dermatologo, il ginecologo, se esistono problematiche associate all’invecchiamento e alla menopausa, funzionano anche per la prevenzione tumori cutanei.
“Le pazienti affette da lichen possono infatti avere un rischio tra il 4 e il 6% di sviluppare tumore vulvare – precisa il dr. Casabona – ma la mortalità può essere azzerata dai controlli periodici. Per i maschi, infine, è indispensabile il parere dell’urologo: in prima battuta si può ricorrere alla circoncisione per evitare la fimosi o problematiche dell’uretra.” “Per combattere il lichen scleroatrofico vorremmo anche sottolineare l’importanza dello psicologo soprattutto per i pazienti più giovani – conclude la presidente dell’associazione di pazienti LISCLEA Muriel Rouffaneau – perché all’inizio possono subire un vero e proprio trauma causato dai sintomi della malattia e dai suoi risvolti umani ed emotivi. Sono tante le persone che si rivolgono oggi alla nostra associazione, molte sono depresse e per questo vanno aiutate da psicologi formati per affrontare questa malattia”.

