La sindrome di Osgood-Schlatter, un disturbo del ginocchio che colpisce bambini e adolescenti, se non trattato può creare problemi anche da adulti
Un disturbo benigno a carico del ginocchio comune in età pediatrica è la sindrome di Osgood-Schlatter: la tuberosità della tibia, localizzata sotto la rotula, è dolente e gonfia, soprattutto quando si fa sport. L’affezione è associata al processo di accrescimento dei tessuti osseo e cartilagineo e con la crescita tende a scomparire. Ma ci sono ripercussioni da giovani adulti? E se sì, quali? L’abbiamo chiesto al dottor Andrea Bruno, ortopedico e traumatologo di Humanitas.
I piccoli atleti i più colpiti
La sindrome di Osgood-Schlatter è una osteocondrosi che interessa i bambini di età pre-adolescenziale, compresa fra i dieci e i quattordici anni. La prevalenza è maggiore tra i maschi e soprattutto fra chi si dedica all’attività fisica. I movimenti di flessione del ginocchio, basti pensare a quelli eseguiti dai piccoli calciatori, per citare uno degli sport più praticati, possono causare dolore al ginocchio.
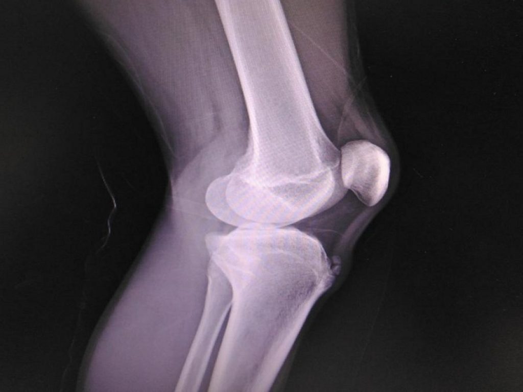
«La sindrome interessa l’apofisi tibiale anteriore, ovvero il nucleo di accrescimento della tuberosità tibiale», spiega il dottor Bruno. I sintomi sono la tumefazione e il dolore, spesso a una sola delle due gambe, «senza limitazioni funzionali», ricorda lo specialista. La dolenzia è indotta dalla flessione del tendine che collega il muscolo quadricipite della coscia con la tibia, «ecco perché i sintomi si avvertono durante la pratica sportiva, con la corsa o saltando, ma anche quando si salgono le scale». La sindrome tende ad andare incontro a guarigione spontanea e comunque con la fine del processo di crescita dei tessuti, intorno ai diciotto/diciannove anni.
Se necessario si può ricorrere a una terapia sintomatologica: «Non c’è una terapia mirata specifica per la sindrome di Osgood-Schlatter. Si può intervenire comunque con l’assunzione di farmaci antidolorifici, con la riduzione, la modificazione o l’interruzione dell’attività sportiva, il riposo e lo stretching della catena muscolare posteriore», aggiunge il dottor Bruno.
E nell’adulto?
Risolta, la sindrome non comporta alcun problema: «Terminato il processo di crescita la sindrome regredisce e non dà alcun problema negli anni successivi, né predispone all’insorgenza di altri problemi all’articolazione del ginocchio».
Se invece la sindrome viene trascurata ci potranno essere delle ripercussioni in età adulta: «La tuberosità tibiale si può frammentare una volta terminata la crescita. Può persistere un frammento osseo calcificato locale che può dare sofferenza al tendine», spiega ancora l’esperto.
L’età è quella post puberale: «Una volta terminata la crescita il soggetto può essere sottoposto a intervento chirurgico. L’operazione consiste nell’asportazione del frammento osseo. Si può eseguire una tenolisi, una sorta di pulizia del tendine interno alla calcificazione», conclude il dottor Bruno.

