Pectus excavatum: se accompagnato da disturbi del ritmo cardiaco o difficoltà respiratorie durante lo sforzo, l’intervento chirurgico diventa necessario
Il pectus excavatum è la malformazione toracica più diffusa e colpisce mediamente 1 bambino ogni 1.000. E’ conosciuta anche come petto del ciabattino (per la posizione di lavoro dei giovani calzolai di un tempo che appoggiavano sul petto con forza le scarpe da pulire o da rimettere a nuovo). La malformazione è congenita nella maggior parte dei casi ed è poco evidente alla nascita ma diventa sempre più visibile con la crescita. Il petto escavato è dovuto ad un eccesso di crescita delle cartilagini costali che portano all’infossamento dello sterno. A causa di questa anomalia il volume della cavità toracica si riduce, al contrario di quello che succede in caso di petto carenato o torace carenato.
Le ricadute psicologiche
Si tratta di un avvallamento sul petto, torace a imbuto, che finisce per inghiottire anche l’autostima del ragazzo. “Spesso viene vissuta come una malformazione estetica- spiega il Direttore della Chirurgia Toracica dell’Ospedale Niguarda -. Alcuni studi psicologici effettuati su bambini colpiti da questa malformazione hanno evidenziato che, quando non viene corretta chirurgicamente, favorisce insicurezza e timidezza. Va ricordato che nei casi più accentuati lo sterno incavato può provocare anche disturbi funzionali come lo spostamento del cuore dalla sua sede naturale o la riduzione dello spazio a disposizione dei polmoni nella gabbia toracica”.
Petto escavato: gli esercizi e la palestra non risolvono
Se il pectus excavatum è accompagnato da disturbi del ritmo cardiaco o difficoltà respiratorie durante lo sforzo, l’intervento chirurgico diventa necessario. Pensare che il disturbo regredisca con il tempo o con la fisioterapia per il petto escavato è un’illusione. Al contrario, più passa il tempo più tende ad accentuarsi. A Niguarda gli interventi sono condotti nel reparto di Chirurgia Toracica, ma si lavora in équipe per un approccio globale. “Noi operiamo solo casi accentuati in cui il disturbo sia quantitativamente significativo o produca nel giovane paziente forti limitazioni psicologiche nelle relazioni sociali. Non si tratta di chirurgia plastica per il pectus excavatum ma di chirurgia profonda per cui è importante avere a disposizione una rianimazione cardio-chirurgica esperta, come quella di Niguarda, per la gestione di eventuali complicanze- indica il chirurgo-. Inoltre grazie al lavoro degli anestesisti e alle possibilità più recenti il dolore post-operatorio è ben controllato”.
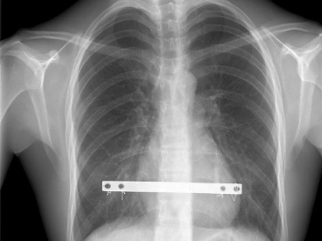
L’operazione per il pectus excavatum
L’opzione più praticata si chiama sternoplastica di Nuss (dal nome del chirurgo che la propose per primo) e permette di correggere la malformazione grazie all’inserimento di un archetto metallico sotto lo sterno. Questa operazione per il pectus excavatum consente di intervenire per via mini-invasiva, attraverso due piccole incisioni ai lati del torace, in maniera video-guidata. Una volta inserito l’archetto, le estremità vengono agganciate alle costole e il centro sposta lo sterno all’infuori, in modo che, sotto questa spinta costante, l’infossatura si raddrizzi. Il candidato ideale per questo tipo di operazione ha 12-16 anni, infatti il supporto metallico deve essere rimosso dopo 3-4 anni, a maturazione ossea completata.
La tecnica di Ravitch
E’ un altro intervento per il pectus excavatum ed è l’opzione chirurgica tradizionale (oggi meno praticata) e consiste nell’asportazione di tutte le cartilagini costali, responsabili dell’infossamento, a causa del loro accrescimento fuori misura. Lo sterno viene così mobilizzato e può essere spinto in avanti da un sostegno metallico che viene rimosso dopo 1 anno (periodo di tempo necessario per la stabilizzazione definitiva della gabbia toracica) o da una rete di tessuto plastico. Entrambi gli interventi vengono eseguiti in anestesia generale, durano 2-3 ore e il paziente può essere dimesso dopo 5-7 giorni.

